Непальский пациент выражает благодарность доктору Ню по самому высокому уровню своего этикета
None
Date:2019-12-23Author:From:FUDA

Предисловие: с гармонией шума и покоя, это таинственная страна - Непал, где у каждого искреннее сердце и благородная религиозная вера, которая произведет на вас глубокое впечатление.
Первая встреча с Ратаном

В Онкологической больнице Фуда вы можете встретить занятых медсестер, а также пациентов с другим цветом кожи. Несколько дней назад я встретил пациента с белой кожей и рыжими волосами, который произвел на меня впечатление. Тот, что позади него, казался индейцем. Позже медсестра сказала мне, что эти два человека, которых я встретил, были отцом и сыном. Рыжеволосый пациент, 74 года, непальский по имени Ратан, страдал от рака поджелудочной железы.
Рыжеволосый непальский


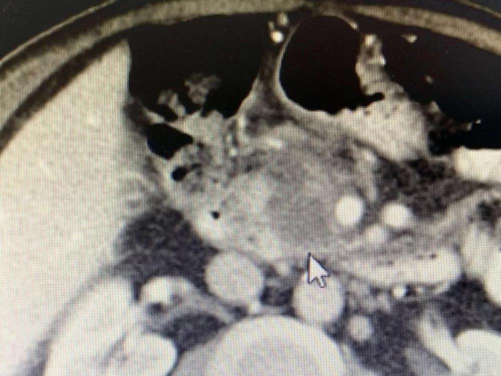
До операции опухоль поджелудочной железы окружает кровеносные сосуды и обнаруживаются метастазы в брюшных лимфатических узлах.
Медсестра сказала мне, что он и его семья были очень добрыми, и они улыбались и кивали вам, когда приветствовали. Было сказано, что он внезапно почувствовал боль в верхней части живота в апреле этого года. Позже в мае он прошел обследование в местной больнице. Неподтвержденная масса в поджелудочной железе размером 3 см была обнаружена вблизи верхней брыжеечной вены, которая предположительно была раком поджелудочной железы. 25 июля у него было еще одно обследование, и его состояние ухудшилось. Опухоль проникла в верхнюю брыжеечную вену и артерию; многочисленные маленькие лимфатические узлы были обнаружены перед полой веной и вблизи аорты. Из-за ограниченных медицинских ресурсов лучшего лечения в Непале не было. Затем его врач порекомендовал ему Онкологическую больницу Фуда.
Его сын искал в Интернете и знал о Онкологической больнице Фуда, которая обеспечила передовую криохирургию в мире и до сих пор лечила некоторых пациентов с раком поджелудочной железы.


Необратимая электропорация при опухоли поджелудочной железы
Для дальнейшего лечения как можно скорее его сын привез его в Онкологическую больницу Фуда 31 августа. После обследования ему был поставлен диагноз несоциализированная аденокарцинома III стадии в поджелудочной железе и диабет II типа с множественными узлами в печени, легких и щитовидной железе. После обсуждения с доктором Ню Личжи и медицинской командой он и его семья согласились провести катетеризацию в подключичной вене 6 сентября и на сдедующий день необратимую электропорацию при опухоли поджелудочной железы. После интенсивной терапии его состояние улучшалось с каждым днем.
Непальский этикет выражает благодарность

Во время утреннего обхода доктор Ню и доктор Ли пришли в его палату. В то время он сидел в постели со скрещенными ногами и разговаривал со своей семьей. Когда он увидел приходящих врачей, он почувствовал себя счастливым. Доктор Ли сказал: «Через неделю после операции отчет КТ Ратана показал полный некроз опухоли, и онкомаркер СА199 вернулся к норме».

Прочитав его все отчеты, доктор Ню похлопал его по плечу и сказал: «Я рассказал вам хорошие новости - завтра вы можете быть выписаны из нашей больницы». Услышав это, он взволнованно взял руки доктора Ню и положил их на свою лоб молился, что удивило доктора Ню. Затем его семья объяснила доктору Ню: «Это самый высокий уровень этикета из Непала, показывая его уважение и благодарность доктору Ню. До приезда в Китай мы консультировались с врачами из разных стран, но они сказали, что ничего не поделаешь, поэтому у нас все еще были сомнения. Однако, когда Ратан вскоре восстановился после операции и его симптомы улучшились в Фуда, мы хотели бы поблагодарить доктора Ню за то, что он дал нам надежду».

Непальский этикет
Доктор Ню сказал: «Мы должны уделять много внимании после операции. Когда вы вернетесь домой, не забывайте регулярно проходить химиотерапию. Для этого вида рака общее лечение может эффективно предотвратить рецидив!» Наконец, доктор Ню сфотографировался с Ратаном и его семьей.
Иногда люди похожи на машины, а органы нашего тела - на части. Они могут быть изношены или заражены болезнями. Затем появляется специалист по ремонту, такой как врач и медсестра, осматривает наше тело и тщательно ремонтирует сломанную деталь, чтобы сохранить наше здоровье. Самое большое счастье доктора - наблюдать за выздоровлением пациентов.
- Необратимая электропорация (нанонож)..
- Аргоно-гелиевая Криоабляция..
- Интервенционная эмболизация микросферы..
- Брахитерапия..
- Фотодинамическая терапия..
- Малоинвазивная ротационная резекция..
- Комбинированная иммунотерапия,CIC..
-
There is no records.





