Врачи Онкологической больницы Фуда при Университете Цзинань как мастера вылечили бабушку из Сычуань, страдающую раком легких, кого отказали много больниц.
None
Date:2019-12-23Author:From:FUDA
19 сентября 2018 года тётя Ли, страдающая аденокарциномой легкого, написала благодарное письмо в Онкологическую больницу Фуда при Университете Цзинань, чтобы благодарить доктора Ню Больницы Фуда и всего медицинского персонала.
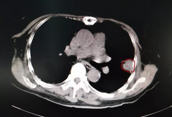
В апреле этого года тётя Ли сделала повторное обследование, которое показало, что у нее увеливение узлов в левом легким. В июле повторное КТ-обследование груди показано, что интерстициальный фиброз двух легких с инфекцией без заметных изменений с предудущим; масса в верхней доле левого легкого с увеличенным очагов; в соответствии с чрескожной биопсией аденокарцинома легкого; по EGFR экзонная мутация, PD-L1 (-), поставлен диагноз аденокарциномы верхнего левого легкого T2aN0M0 ⅠB стадии.

С июля этого года тетя Ли везде обращалась за медицинской помощью, но из-за слишком большого риска операции, многие больницы отказались от лечения. Об этом узнали два соседа тети Ли, которые десять лет назад лечились в Онкологической больнице Фуда при Университете Цзинань. У одного из пациентов также была операция на рак легких, и операция прошла успешно, и послеоперационное выздоровление было хорошим. После их знакомпления тетя Ли передала предыдущие отчеты доктору Ню, директору больницы. Прочитав отчеты, директор Ню предложил приехать в больницу Фуда для дальнейшего лечения, что дало семьям бесконечное утешение и надежду.

Затем тетя Ли госпитализирована в Онкологической больнице Фуда при Университете Цзинань, и сразу же после консультации с доктором Ню ей создали план лечения, 12 сентября медицинская команда выполнила правильные и эффективные процедуры с большим опытом и превосходными методами криотерапии, операция прошла очень успешно, интраоперационное кровотечение было всего 0,5 мл, жизненные признаки были стабильны.


После 24 часов тщательного наблюдения, симптомы тети Ли заметно улучшились. Во время реабилитации, доктор Ню и медперсонал заботятся о ней, терпеливо объясняют все, чтобы она поняла.

19 сентября тётя Ли была выписана из больницы. Она специально написала искренние благодарительные слова, и неоднократно благодарила медперсоналу нашей больницы. «Медицинский персонал больницы Фуда уважает пожилых людей с полным энтузиазмом. Особенно медицинская этика доктора Ню особенно тронула меня и я очень счастлива». Все слова благодарности-это похвала медперсоналу, а также благодарность и доверие пациентов к Онкологической больнице Фуда при Университету Цзинань.

В этом благодарственном письме показывается не только командный дух, но и вера в то, что весь медицинский персонал делает все возможное, чтобы помочь каждому пациенту.

На самом деле, команда криотерапии в Онкологической больнице Фуда при Университете Цзинань сделала более 10 000 случаев. Это новая терапия, одобренная FDA США в 1998 году, SDA в Китае в 1999 год. В 2000 году Онкологическая больница Фуда при Университете Цзинань внедрила эту технологию из США. В течение 20 лет на клинической практике технология криотерапии опухолей в больнице Фуда стала более изысканной и опытной.
На собственном опыте пациентка рассказывает о том, как работают врачи-медики в Онкологической больнице Фуда при Университете Цзинань. Она написала благодарственное письмо, которое полностью выражает ее признание качества больничных услуг, высокую оценку превосходного профессионализма медперсонала и теплого отношения к обслуживанию. Именно эти теплые зрения и благодарные голоса заставили медперсонал в Онкологической больнице Фуда при Университете Цзинань преодолеть напряженный труд днем и ночью. В борьбе с болезнью и смертью, они никогда не отступают.
- Необратимая электропорация (нанонож)..
- Аргоно-гелиевая Криоабляция..
- Интервенционная эмболизация микросферы..
- Брахитерапия..
- Фотодинамическая терапия..
- Малоинвазивная ротационная резекция..
- Комбинированная иммунотерапия,CIC..
-
There is no records.





